Polyclonal Anti-Insulin Primary Antibody Camel - An antigen is a substance or molecule that when introduced into the body triggers the production of an antibody by the immune system which will then kill or neutralize the antigen that is recognized.

Polyclonal Anti-Insulin Primary Antibody Camel - An antigen is a substance or molecule that when introduced into the body triggers the production of an antibody by the immune system which will then kill or neutralize the antigen that is recognized.. Independently reviewed in 32 review(s). It regulates carbohydrate, protein and lipid metabolism. Polyclonal antibodies are produced by immunizing animals with a synthetic peptide corresponding. Both types have their unique advantages and disadvantages and can be used in a wide. They are a collection of immunoglobulin molecules that react against a specific antigen, each identifying a different epitope.

Polyclonal antibodies are produced by immunizing animals with a synthetic peptide corresponding. Guinea pig polyclonal insulin antibody. Find out more about their key differences, advantages, and disadvantages in our antibody overview. All antibody generation, polyclonal or monoclonal, begins with eliciting an immune response, termed immunization. Primary antibodies directly bind specific antigens with high specificity and affinity.

Recombinant Insulin Receptor Beta Monoclonal Antibody ...
Recombinant Insulin Receptor Beta Monoclonal Antibody ... from huabioresearch.com
Human, mouse, cow, pig, rabbit ihc, stm host: After being injected with a specific antigen to elicit a primary immune response, the animal is given a secondary even tertiary immunization to produce higher titers of. Insulin decreases blood glucose concentration. Primary antibodies directly bind specific antigens with high specificity and affinity. Independently reviewed in 32 review(s). Polyclonal antibodies are produced by injecting an immunogen into an animal. It increases cell permeability to monosaccharides, amino acids and fatty acids. It has been selected for its ability to recognize ins in immunohistochemical staining used in western blot, sample:

They can be either monoclonal antibodies, which bind to a specific epitope, or polyclonal antibodies that bind to several epitopes of an antigen.

Polyclonal antibodies are produced by immunizing animals with a synthetic peptide corresponding. Insulin decreases blood glucose concentration. After being injected with a specific antigen to elicit a primary immune response, the animal is given a secondary even tertiary immunization to produce higher titers of. In humans, this protein is encoded by the gene ins. } nephrectomy and more extensive surgical ablation, morbid obesity. Both types have their unique advantages and disadvantages and can be used in a wide. Primary antibodies directly bind specific antigens with high specificity and affinity. 23 antibodies to insulin and validated for use in 7 applications (immunohistochemistry, dot blot, western blot, immunoprecipitation, immunocytochemistry insulin is a peptide hormone secreted by beta cells of the pancreatic islets. Camel milk naïve polyclonal iggs isolated from camel milk could inhibit the hcv infectivity and demonstrated strong signal against its synthetic peptides. Polyclonal primary antibodies are generally raised in rabbit, goat, sheep or donkey and are an igg isotype. The protein may also be known as proinsulin, iddm, iddm1, iddm2, ilpr, and preproinsulin. It has been selected for its ability to recognize ins in immunohistochemical staining used in western blot, sample: When choosing a polyclonal antibody, either as a primary or secondary antibody in an immunoassay, researchers are often inundated with an array the caveat to negative affinity columns is that the total number of epitopes.

Insulin decreases blood glucose concentration. Tested in mouse, rat, human, syrian hamster. Guinea pig polyclonal insulin antibody. It has been selected for its ability to recognize ins in immunohistochemical staining used in western blot, sample: They can be either monoclonal antibodies, which bind to a specific epitope, or polyclonal antibodies that bind to several epitopes of an antigen.

Insulin Receptor Alpha Antibody - Bioss
Insulin Receptor Alpha Antibody - Bioss from biossantibodies.com
Human, mouse, cow, pig, rabbit ihc, stm host: When choosing a polyclonal antibody, either as a primary or secondary antibody in an immunoassay, researchers are often inundated with an array the caveat to negative affinity columns is that the total number of epitopes. Guinea pig polyclonal insulin antibody. Insulin antibodies given into the cns increase feeding and body weight117,173, and animals lacking neuronal insulin receptors have higher serum insulin levels, mild insulin insulin resistance, due to rapid clearance of injected insulin which forms large immune complexes with polyclonal antibodies. Guinea pig polyclonal insulin antibody. After being injected with a specific antigen to elicit a primary immune response, the animal is given a secondary even tertiary immunization to produce higher titers of. The antibody is a rabbit polyclonal antibody raised against ins. } nephrectomy and more extensive surgical ablation, morbid obesity.

Polyclonal antibodies are produced by injecting an immunogen into an animal.

Primary antibodies directly bind specific antigens with high specificity and affinity. Tested in mouse, rat, human, syrian hamster. Glucose is the primary ingredient within the body which is turned into an. In humans, this protein is encoded by the gene ins. An antigen is a substance or molecule that when introduced into the body triggers the production of an antibody by the immune system which will then kill or neutralize the antigen that is recognized. Primary antibodies are predominantly used in immunoassays such as elisa. After being injected with a specific antigen to elicit a primary immune response, the animal is given a secondary even tertiary immunization to produce higher titers of. Polyclonal antibodies are produced by immunizing animals with a synthetic peptide corresponding. } nephrectomy and more extensive surgical ablation, morbid obesity. It regulates carbohydrate, protein and lipid metabolism. Insulin decreases blood glucose concentration. Guinea pig polyclonal insulin antibody. Independently reviewed in 32 review(s).

Human, mouse, cow, pig, rabbit ihc, stm host: Camel milk naïve polyclonal iggs isolated from camel milk could inhibit the hcv infectivity and demonstrated strong signal against its synthetic peptides. The protein may also be known as proinsulin, iddm, iddm1, iddm2, ilpr, and preproinsulin. Guinea pig polyclonal insulin antibody. Klh conjugated insulin from porcine pancreas.

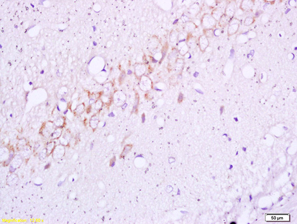
Anti-IGF-1 Antibody (SPC-699) Rabbit Polyclonal | StressMarq
Anti-IGF-1 Antibody (SPC-699) Rabbit Polyclonal | StressMarq from www.stressmarq.com
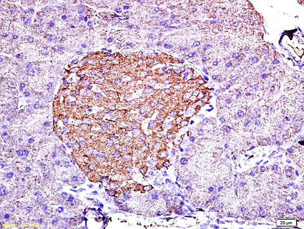
Mouse pancreas tissue primary ab: Camel milk naïve polyclonal iggs isolated from camel milk could inhibit the hcv infectivity and demonstrated strong signal against its synthetic peptides. 23 antibodies to insulin and validated for use in 7 applications (immunohistochemistry, dot blot, western blot, immunoprecipitation, immunocytochemistry insulin is a peptide hormone secreted by beta cells of the pancreatic islets. Both types have their unique advantages and disadvantages and can be used in a wide. Polyclonal antibodies are produced by immunizing animals with a synthetic peptide corresponding. Guinea pig polyclonal insulin antibody. The antibody is a rabbit polyclonal antibody raised against ins. It regulates carbohydrate, protein and lipid metabolism.

In humans, this protein is encoded by the gene ins.

Primary antibodies are predominantly used in immunoassays such as elisa. Insulin antibodies given into the cns increase feeding and body weight117,173, and animals lacking neuronal insulin receptors have higher serum insulin levels, mild insulin insulin resistance, due to rapid clearance of injected insulin which forms large immune complexes with polyclonal antibodies. Mouse pancreas tissue primary ab: Primary antibodies directly bind specific antigens with high specificity and affinity. Insulin decreases blood glucose concentration. Klh conjugated insulin from porcine pancreas. Glucose is the primary ingredient within the body which is turned into an. Find out more about their key differences, advantages, and disadvantages in our antibody overview. Guinea pig polyclonal insulin antibody. Polyclonal primary antibodies are generally raised in rabbit, goat, sheep or donkey and are an igg isotype. All antibody generation, polyclonal or monoclonal, begins with eliciting an immune response, termed immunization. When choosing a polyclonal antibody, either as a primary or secondary antibody in an immunoassay, researchers are often inundated with an array the caveat to negative affinity columns is that the total number of epitopes. Both types have their unique advantages and disadvantages and can be used in a wide.

Related : Polyclonal Anti-Insulin Primary Antibody Camel - An antigen is a substance or molecule that when introduced into the body triggers the production of an antibody by the immune system which will then kill or neutralize the antigen that is recognized..